Osteocondroses e Osteocondrites do Pé
Osteocondroses do Pé :
Osteocondrose é um distúrbio que envolve a cartilagem de crescimento ou FISE, presente nos ossos de crianças e adolescentes que estão em fase de desenvolvimento esquelético.

Por razões ainda pouco conhecidas, ocorre uma diminuição da circulação sanguínea na cartilagem de crescimento; uma isquemia temporária que leva a uma lesão autolimitada, caracterizada por quatro estágios:

Estágio 1: Processo inflamatório local, com reabsorção óssea ao redor da cartilagem.

Estágio 2: Fragmentação e zonas de irregularidade com o aumento da área da lesão ocasionada pela trombose e obstrução dos canais vasculares.

Estágio 3: Fase de reparo. Gradualmente ocorre a revascularização local e inicia a cicatrização óssea pela substituição do tecido lesado.

Estágio 4: Fase de remodelação e estágio final da lesão, onde ocorre a consolidação (calcificação) óssea que determina a deformidade residual, caso ela tenha ocorrido durante as fases anteriores.

As causas da osteocondrose ainda são controversas. Os dois principais fatores considerados são traumas e lesões por sobrecarga ou impacto de repetição; que promovem as alterações vasculares ao nível da cartilagem de crescimento. Outros eventos como embolia, distúrbios endócrinos, defeitos vasculares locais, fatores genéticos e hereditários podem estar relacionados.
Essa alteração acontece, na maioria das vezes (80%), em algum osso do membro inferior. Os ossos do pé estão envolvidos em até 30 % dos casos.
Cada lesão em determinado osso acometido leva o nome de quem primeiramente a descreveu, um epônimo.
As Principais Osteocondroses do Pé são :
1. Osteocondrose da Cabeça Metatarsal ( Doença de Freiberg ):
É a osteocondrose que envolve geralmente a cabeça do 2º (68%) ou do 3º metatarso (27%), e menos frequentemente a do 4º (5%).
É a única osteocondrose mais frequente em mulheres (5:1), entre os 12 e 15 anos, e raramente ocorre em ambos os pés.
A principal queixa é a dor e o inchaço da articulação, que piora com o movimento e com atividades de impacto (caminhada, corrida, dança,...). Com a evolução da lesão, pode ocorrer limitação do movimento do dedo e deformidade articular.
A avaliação inicial é feita através do raio X dos pés, sendo possível classificar a doença de Freiberg em 5 estágios evolutivos (segundo Smillie), desde uma fratura subcondral (Estágio 1) até a completa degeneração articular com achatamento e artrose da cabeça metatarsal (Estágio 5).

O tratamento sintomático é eficaz para os estágios iniciais da lesão. Medicação analgésica e a retirada do apoio aliviam a dor aguda. A adaptação de palmilhas que diminuem a pressão sob a articulação podem ser usadas para um tratamento a longo prazo.
A cirurgia está indicada nos estágios tardios ou quando não há melhora com o tratamento conservador. Existem várias técnicas cirúrgicas descritas com a intenção de melhorar a forma e a congruência articular. Uma das técnicas mais utilizadas é a osteotomia dorsal metatarsal; isto é, a retirada em cunha da lesão com a rotação da cartilagem plantar normal, refazendo a congruência da articulação.

2. Osteocondrose do Navicular ( Doença de Köhler ):
Descrita por Köhler em 1908, a osteocondrose do navicular é mais frequente no sexo masculino (5:1); ocorre entre os 3 e 7 anos de idade, na maioria dos casos; e o acometimento bilateral é incomum.
O principal sintoma é a dor na região medial do pé que piora com o apoio. A região pode apresentar-se inchada e levemente avermelhada.

No exame radiológico podemos encontrar o osso navicular deformado, achatado e com múltiplas áreas de reabsorção e ossificação irregular (esclerose óssea).

O tratamento da osteocondrose do navicular é conservador, com a melhora dos sintomas em um tempo bastante variável. Medicação analgésica e anti-inflamatória, repouso e o uso de bota imobilizadora ou palmilha com o apoio do arco plantar, ajudam a diminuir a dor e o desconforto, além de abreviar o tempo de recuperação da lesão.
A doença de Köhler não ocasiona nenhuma alteração ou defeito ósseo no pé a longo prazo. O tempo de remodelação e reestruturação do navicular pode levar de 6 meses a muitos anos, sempre reconstituindo totalmente a sua anatomia.
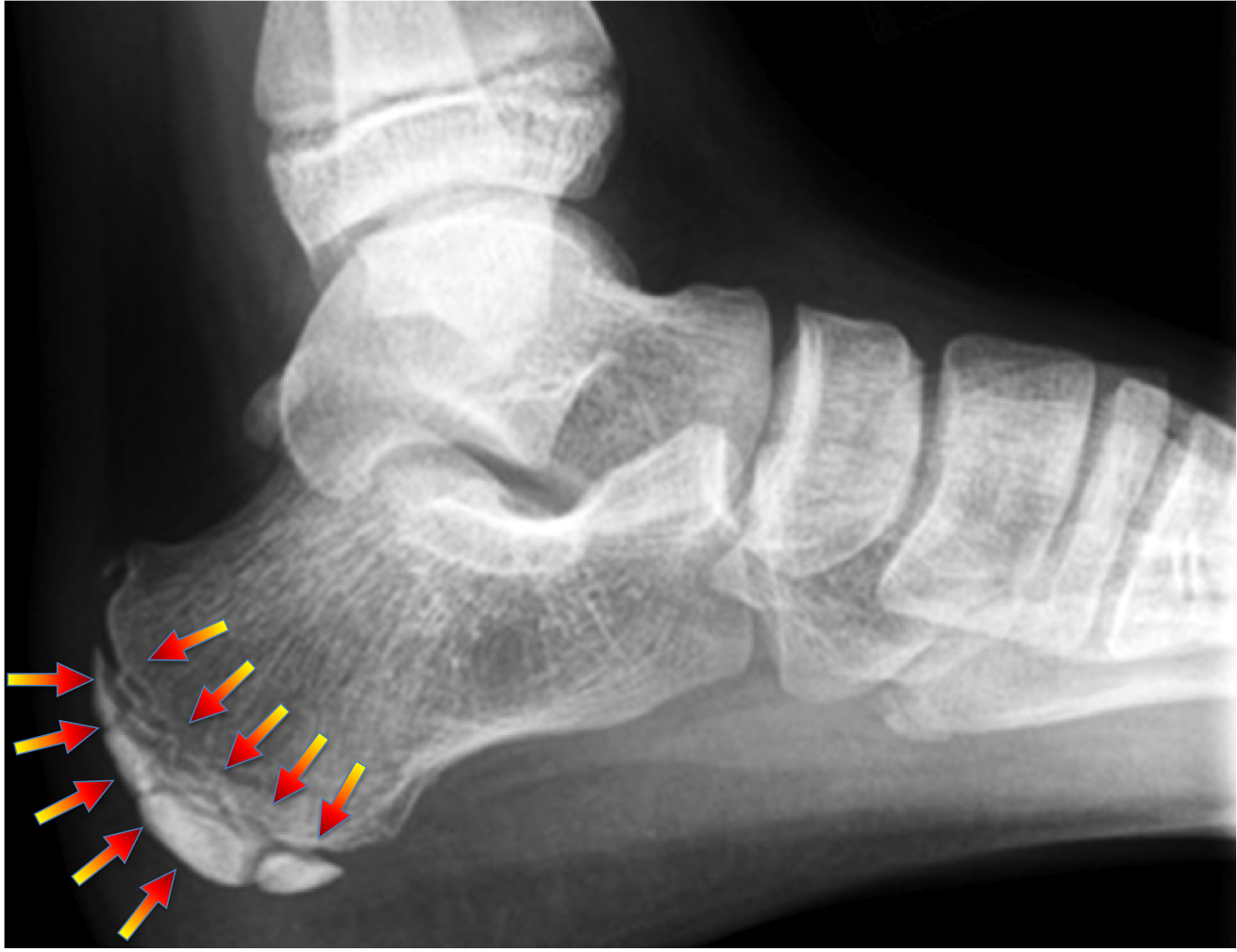
3. Osteocondrose do Calcâneo ( Doença de Sever ou Haglund-Sever ):
A osteocondrose do calcâneo ou doença de Sever acomete principalmente crianças entre 7 e 12 anos de idade e está relacionada com o aumento da atividade esportiva de impacto como o futebol, basquete, handebol ou vôlei.

Acomete seis vezes mais meninos do que meninas (6:1) e frequentemente é bilateral.
A principal queixa é a dor na região plantar do calcanhar que aumenta durante ou após a atividade esportiva. A criança pode começar a caminhar na ponta dos pés, evitando apoiar o calcanhar doloroso no chão e, consequentemente, reluta em praticar atividades de salto ou corrida.
Na avaliação clínica o principal sinal é a dor a palpação localizada na face plantar do calcanhar.

No exame radiológico a cartilagem de crescimento (fise) apresenta-se alargada, irregular e com sinais de esclerose e fragmentação óssea ao redor da lesão.

O tratamento é conservador, inicialmente com o uso de medicação analgésica e afastamento das atividades de impacto (corrida e/ou salto).
Se a dor inicial for intensa, a retirada do apoio com muletas e a imobilização com tala gessada ou bota imobilizadora podem ser usadas temporariamente.
Sessões de fisioterapia, visando principalmente o alongamento tendíneo da panturrilha, devem ser feitas após a melhora da dor intensa inicial.

É importante enfatizar que a osteocondrite do calcâneo (de Sever) é uma alteração autolimitada, isto é, possui um curso determinado, e não deixa deformidades ou sequelas para a vida adulta.
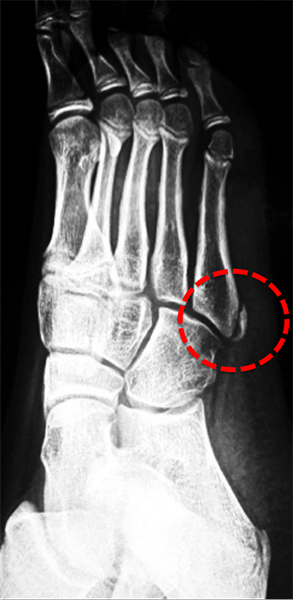
4. Osteocondrose da Base do 5º Metatarso ( Doença de Iselin ):
É a osteocondrose que acomete a base do quinto metatarso e relaciona-se diretamente com a inserção do tendão fibular curto nesta região. Foi descrita por Iselin em 1912.


É uma lesão pouco comum que acomete tanto em meninos quanto em meninas, mas principalmente em jovens esportistas entre 7 e 10 anos.
O paciente queixa-se de dor e inchaço localizado na lateral do pé.
A palpação do local é dolorosa e piora com o movimento forçado de flexão plantar e inversão (movimento do pé para baixo e para dentro).
Ao raio X pode-se observar alargamento da base do 5º metatarso e irregularidade no padrão de ossificação da fise (cartilagem de crescimento).

O tratamento é conservador e consiste em evitar atividades de impacto, uso de medicação analgésica, gelo e, ocasionalmente, imobilização temporária do pé e tornozelo.
A fisioterapia e o retorno gradual à atividade esportiva são liberados após a melhora dos sintomas, que ocorre entre 6 e 12 semanas após o início do tratamento.
A cartilagem de crescimento ou fise da base do 5º metatarso ossifica-se completamente por volta dos 12 e 14 anos de idade.
Osteocondrites do Pé :
Frequentemente os termos osteocondrite e osteocondrose se confundem. Porém, a osteocondrite diferencia-se da osteocondrose por não lesionar a fise, isto é, a cartilagem de crescimento; não interferindo na formação e no desenvolvimento ósseo (osteogênese).
A osteocondrite é uma lesão que envolve a cartilagem articular e o osso subjacente, mais comumente em esqueletos maduros (adultos).
As causas das osteocondrites ainda são controversas. Os dois principais fatores considerados são traumas e lesões por sobrecarga ou impacto de repetição; que promovem as alterações vasculares ao nível da cartilagem e do osso subjacente. Outros eventos como embolia, distúrbios endócrinos, defeitos vasculares locais, fatores genéticos e hereditários podem estar relacionados.
Ossos Sesamóides:
Os sesamóides são dois pequenos ossos presentes na porção plantar da cabeça do 1º dedo do pé (ou Hallux), posicionados lado a lado, um lateralmente (sesamóide fibular) e outro medialmente (sesamóide tibial).

Além de dissipar as pressões de apoio, eles servem de inserção e proteção para o tendão do músculo flexor curto do Hallux, atuando como duas polias de transferência e aumento de força para a flexão do dedo.

Ocasionalmente em alguns indivíduos eles podem ser bipartidos ou tripartidos, isto é, serem formados por dois ou três ossos ao invés de um.
1. Osteocondrite dos Sesamóides ( Doença de Renander ) :
Primeiramente é importante diferenciar a osteocondrite dos sesamóides da sesamoidite. Esta última é um processo inflamatório benigno, localizado e que envolve o tecido circundante ao osso; sem apresentar alteração no exame de RX.

A osteocondrite dos sesamóides foi primeiramente descrita por Renander em 1924, é mais comum em mulheres entre 18 e 25 anos idade e está diretamente relacionada ao tipo de calçado feminino e exercícios de impacto (caminhada, corrida, dança, etc...).
O paciente apresenta queixa dolorosa importante e prolongada, localizada na região plantar, abaixo da articulação do maior dedo do pé (o Hallux), que piora com o uso de calçados de salto alto ou de solado fino.
A radiografia pode apresentar um osso sesamóide pequeno e disforme, com achatamento e fragmentação óssea com múltiplas áreas de esclerose.
Na tentativa de um tratamento conservador utiliza-se gelo e medicação anti-inflamatória para controle da dor, suspensão da atividade física de impacto e uso de palmilha moldada para alívio da pressão sob o sesamóide acometido. Tratamento fisioterapêutico auxilia no controle da dor e evita a rigidez articular.
O tratamento cirúrgico é indicado quando existe degeneração importante do sesamóide ou quando os sintomas persistem após o tratamento conservador. Neste caso, é realizada a excisão, isto é, a retirada completa do sesamóide doente.

Dr. Silvio Maffi
Especialista em Cirurgia do Pé e Tornozelo
